Grupo de Apoio ao Paciente Onco-hematológico do estado do Ceará
Na luta contra o câncer você não está só.

A Sindrome Mielodisplásica

  A mielodisplasia, também chamada de síndrome mielodisplásica, é considerada um tipo de câncer em que a medula óssea produz células defeituosas ou ainda sem o amadurecimento suficente para a corrente sanguínea, e tem como consequência a presença de anemia, tendência a infecções e sangramentos frequentes, que podem gerar complicações muito graves. Apesar de poder surgir em qualquer idade, esta doença é mais comum em idosos, e na maioria das vezes, a suas causas não são esclarecidas, apesar de em alguns casos poder surgir como consequência do tratamento de um câncer anterior, com quimioterapia, radioterapia ou exposição a produtos químicos, como benzeno ou fumo, por exemplo.

  A mielodisplasia pode ter cura, geralmente, alcançada com o transplante de medula óssea, no entanto, esta não é possível para todos os pacientes, sendo indicada através da avaliação do hematologista. Também existem opções de tratamento com medicamentos quimioterápicos.

Quando sinais e sintomas ocorrem, estes podem incluir:

  - Cansaço
  - Palidez
  - Falta de ar
  - Tendência a infecções
  - Febre
  - Sangramentos
  - Manchas vermelhas no corpo

Possíveis causas

  A síndrome mielodisplásica tem causa genética, mas em muitos casos o motivo para esta alteração no DNA não é encontrado, sendo classificada como mielodisplasia primária. apesar de ter causa genética, esta doença não é hereditária. Já as mielodisplasias secundárias, acontecem devido a intoxicações provocadas por produtos químicos como quimioterapia, radioterapia, benzeno, pesticidas, tabaco, chumbo ou mercúrio, por exemplo.

Diagnóstico

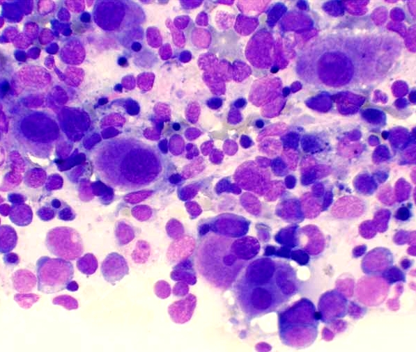
  A diminuição geral das células sanguíneas é o aspecto mais característico da mielodisplasia, no entanto, várias condições mórbidas podem mimetizar a mielodisplasia. Uma pancitopenia (diminuição das células), por exemplo, pode ser causada por uma simples deficiência de vitamina B12 ou ácido fólico. Na sua forma crônica a mielodisplasia pode ser diagnosticada a partir da descoberta de uma anemia durante uma avaliação médica rotineira. Nos outros casos, o diagnóstico é feito por meio da contagem de células sanguíneas e do exame da morfologia dessas células, vistas ao microscópio, complementado por um exame das células da medula (mielograma). O diagnóstico diferencial pode ser difícil.

  Devem ser descartadas, entre outras: as anemias megaloblásticas, os efeitos de quimioterápicos, a leucemia mieloblástica, a AIDS, as anemias congênitas, as infecções virais, a mielofibrose idiopática, a leucemia, a exposição ao arsênico. O hemograma geralmente mostrará uma anemia macrocítica (células aumentadas de tamanho), neutrófilos hipersegmentados, trombocitopenia (diminuição das plaquetas) e alguns blastos circulantes. No sangue também se encontrará: macrocitose (células aumentadas de tamanho) inexplicada, monocitose, anemia ou pancitopenia (diminuição geral de células). O mielograma geralmente será hipercelular, mas também pode ser hipocelular, e a displasia afeta as séries branca, vermelha e plaquetária.

Retornar